How Can We Help You?
Nos ocupamos de la salud ocupacional, tú de tu negocio.

Check Up Médico

Evalúa tu estado de salud, detecta y prevé enfermedades a tiempo con nuestros paquetes que se adecuan a tus necesidades.

we are skillful health care
Nosotros nos encargamos de todo

Valoración médica en clínica por especialistas

Contamos con diversas especialidades médicas para brindarte un mejor tratamiento adecuado a tus necesidades.

Somos tu mejor opción en salud médica integral

Personal capacitado

100%

Equipo de vanguardia

100%
skills
about
about us
Seguridad y confianza hasta la puerta de tu hogar

Consulta médica a domicilio

En GP Medical Health, entendemos la importancia de cuidar tu salud sin complicaciones ni largas esperas.

Nuestro servicio de consultas médicas a domicilio, brindando servicios cómo: Consulta General, Urgencias, Curaciones, Suturas, Cambio de Sondas y más.
Está diseñado para brindarte atención médica de calidad en la comodidad de tu hogar, oficina o donde más lo necesites. Con nuestro equipo de médicos altamente calificados y nuestro compromiso con la excelencia en cada consulta, garantizamos una experiencia cómoda, rápida y profesional, adaptada a tus necesidades.

profile

Atención personalizada

442 612 2019

contact us
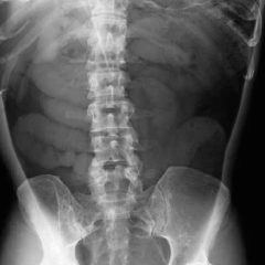
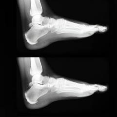
Hasta la comodidad de tu hogar

Rayos X a domicilio

our services
Soluciones de salud

Servicio de ambulancias los 365 días del año.

Ofrecemos servicios de ambulancias.
° Urgencias
° Emergencias
° Traslados locales y foraneos
° Eventos deportivos, escolares y privados

skills
Inicio
Asistente en Línea